Explore our before-and-after cases to see how small adjustments can make a big difference in your smile.


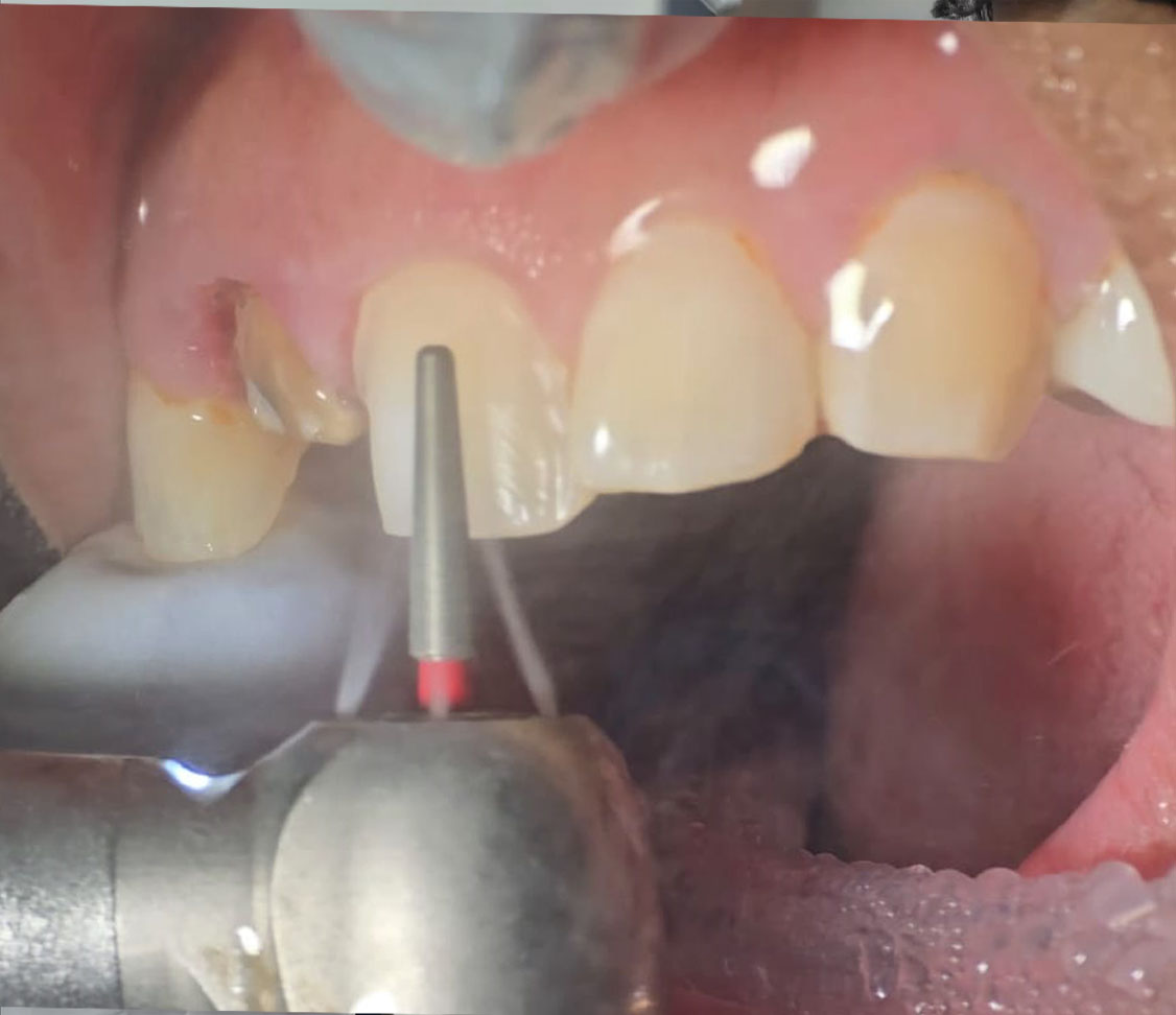
Cosmetic Contouring is a delicate procedure in which slight amount of dental enamel is shaved to achieve a perfect shape in cases needing minimal adjustments in shape of teeth
Your ideal smile is just a contour away.
Contact Goel Dental today and experience painless, precise teeth reshaping for a confident smile.