Why Choose Philips Zoom Whitening for a Brighter Smile?
Philips Zoom Teeth Whitening is one of the safest and most effective ways to achieve a visibly whiter smile in just one appointment. Unlike over-the-counter products, Zoom Whitening is dentist-supervised, ensuring faster results without harming your enamel.
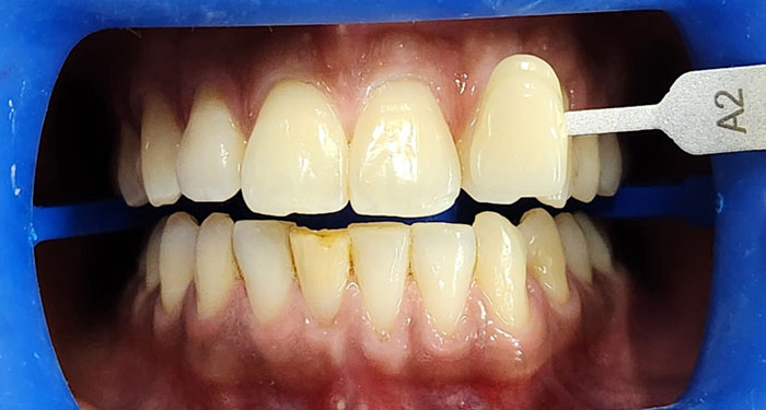
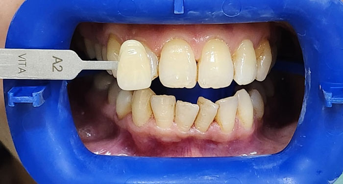
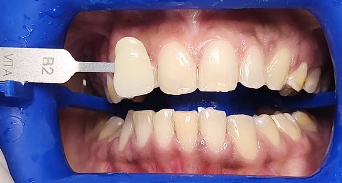
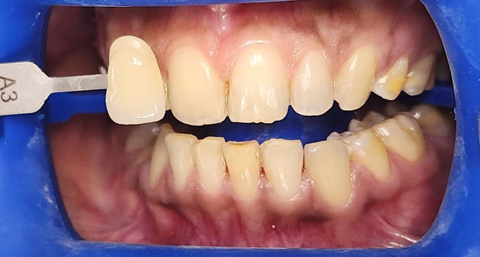
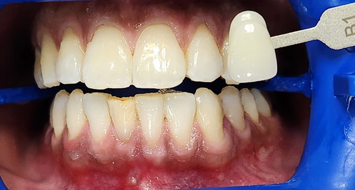
At Goel Dental in Delhi, we use advanced Zoom technology from Philips to lighten stains caused by coffee, tea, tobacco, or aging—giving you upto 8 shades whiter teeth that looks natural and confident.
The Advantage of Choosing Philips Zoom Whitening for Your Smile
Philips Zoom Teeth Whitening stands out as a fast, safe, and highly effective professional whitening treatment. Unlike at-home or over-the-counter methods or other cheaper bleaching methods, Zoom delivers noticeable results in just one session (typically 45–60 minutes).
The procedure is dentist-supervised, ensuring safety and a predictable outcome tailored to your teeth and sensitivity. Using a higher concentration patented bleaching gel activated by a patented Zoom light, bleach penetrates stains deeply, removing even stubborn discoloration.
With customizable treatment options, it offers an 8 shade whiter, natural-looking smile quickly and reliably.
From Start to Smile: The Zoom Whitening Procedure Explained
Consultation & Evaluation
Understanding why may be the cause of your dull teeth. Determining exact treatment to enhance your teeth whiteness and presence of any other dental issue.
Teeth Cleaning
As a routine we begin with teeth cleaning to clear them of any tartar and deposits and apply a gum protective barrier.
Bleaching process
Zoom bleaching agent is applied on teeth surface and is activated with Zoom light to activate it. This process is administered in 15 minutes cycles each. Usually results are achieved in two cycles.
Follow-up care
You are ready with your new smile. You will receive follow-up instructions and after care tips to prolong results of your teeth whiteness.
Why Choose Goel Dental & Dr. Shikha Goel for Zoom Whitening in Delhi?
At Goel Dental in Delhi, Dr. Shikha Goel brings years of expertise in cosmetic dentistry and smile design. Every Zoom Whitening procedure is performed with professional care, advanced Philips technology, and strict safety standards—ensuring fast, predictable, and natural-looking results.
What sets us apart is our ability to combine Zoom Whitening with other cosmetic treatments like veneers, crowns, or smile makeovers, delivering a truly aesthetic and harmonious smile. With personalized care and a focus on long-term results, Goel Dental is the trusted choice for anyone seeking a brighter, more confident smile. We are conveniently located in Delhi & Goel Dental serves patients from across South Delhi and NCR in Delhi.
State of art center with readily available diagnostics, experts and implants, trained and courteous staff make it a seamless, hassle free and excellent experience supplemented with the expertise and thoroughness of Dr Shikha Bansal Goel. Overall excellent management and client experience. Keep up the good work.. Best wishes to the Goel Dental team.
Ginni G
Dr Shikha is having very good hand,you will really feel the difference and moreover all new technology. Hence better to visit and get your treatment done. The staff is also responsible and knows the work,good coordination and expertise with experience. Amazed.
Richa Hora
My son is currently undergoing treatment for teeth alignment with Dr. Shikha Goel, and I couldn't be more satisfied with the care he's receiving. I've also had my own teeth cleaned by her, and the experience was wonderful. Dr. Shikha Goel is both humble and extremely knowledgeable. Thank you so much for your excellent service.
Priyanshi Bindal
I had been wanting a perfect smile since a very long time and I wanted it all the more once I entered fashion designing industry. Dr Shikha Goel has been kind enough to give that smile to me and I am greatly thankful to her for this. I owe her for my celebrity smile with ceramic veneers. I feel more confident now and don’t hesitate from smiling for the camera.
Rekha Uniyal
I visited Dr Shikha Goel due to severe tooth pain. She attended me very well and explained me the cause of problem and treatment in detail. I got one wisdom tooth removed and one Root canal done which was done painlessly. I am happy that I got single day crown also in 1 hour which saved me a visit. Overall wonderful experience getting treated by Dr Shikha. Highly recommended!
Sandeep Goyal
Very nice experience visiting the clinic and getting treatment. The staff is courteous and explained everything beforehand. I went for an RCT, full treatment was done in a single sitting and I was amazed further that the even the crown was also delivered on same day. Dr shikha involved me in designing my crown and explained every detail of my crown.
SMILES That Speak for Themselves
At Goel Dental, every smile tells a story of trust, care, and excellence. Our strength lies in genuine, patient-first dentistry—backed by advanced technology, transparent pricing, and results that last. From local families to international patients, countless people have chosen us to design their confident smiles.
We know how to get it right first time, ensuring long lasting outcomes you can trust.
We understand you may have lot of questions about Zoom whitening. These may be of help to you.
How long does a Zoom Whitening session take?−
A single in-office Zoom Whitening session usually takes about 45–60 minutes. Most patients notice their teeth become several shades whiter in just one visit.
Is Zoom Whitening safe?+
Yes. Philips Zoom Whitening is dentist-supervised, uses a clinically tested whitening gel, and is considered safe for your teeth and gums. The procedure does not damage enamel when performed by a professional.
Will I experience sensitivity after Zoom Whitening?+
Some patients may experience mild, temporary sensitivity during or after the treatment. This usually subsides within 24–48 hours. At Goel Dental, Dr.ShikhaGoel customizes the treatment to minimize sensitivity and may recommend desensitizing gels if needed.
How long do the results of Zoom Whitening last?+
Results can last from 1 to 3 years, depending on your diet, oral hygiene, and lifestyle habits (like smoking or coffee/tea consumption). Occasional touch-ups help maintain a long-lasting bright smile.
How is Zoom Whitening better than at-home whitening kits or strips?+
Unlike DIY kits, Zoom Whitening is faster, stronger, and professionally monitored. The patented light-activated technology and higher concentration whitening gel ensure more predictable, even, and long-lasting results.
Can Zoom Whitening be combined with other cosmetic treatments?+
Yes. At Goel Dental, we often combine Zoom Whitening with veneers, crowns, or smile makeover procedures for enhanced aesthetics and a balanced, natural smile.
Are there alternatives to Zoom Whitening?+
Yes, alternatives include at-home professional whitening trays, whitening strips, or over-the-counter gels. However, these methods are usually slower, less effective, and may not deliver the dramatic results that Zoom offers.
Am I a good candidate for Zoom Whitening?+
Most people with healthy teeth and gums are good candidates. However, Zoom may not be suitable if you have extensive dental restorations, severe enamel wear, or certain oral health conditions. A consultation with Dr.ShikhaGoel will help determine if Zoom is right for you.